Angiograms - ECG case study
Written by Judy Haluka
Changes: Updated ECG interpretation and angiogram case information
This 43-year-old male has been experiencing “stuttering chest discomfort” for about 12 hours. He now presents to the emergency department in severe pain (10/10). His general appearance is that of a very ill individual. He is pale and slightly diaphoretic.
PMHx: NIDDM, hypertension, hypothyroidism
Medications: Januvia 100 mg daily, Metformin 500 mg bid, and Lisinopril 20 mg daily.
Upon arrival in the emergency department, his BP is 102/64 with a pulse of 64. His respirations are 28 and slightly labored with a pulse ox saturation of 92% on room air. The monitor reveals a sinus rhythm with a 1st degree AV block with a rate of 64. His 12-lead ECG is below.
Are you concerned? What is your diagnosis? What are your next steps?
If you said you quicken your steps and your heart rate goes up a little after seeing this ECG you would be absolutely correct! This is a large anterior lateral myocardial infarction with a very high risk for cardiac arrest from ventricular fibrillation. If you look at the rhythm strip you notice that the rhythm is regular with P waves before each QRS. However, the PR interval is in excess of .20 seconds (0.24) which makes this a 1st degree AV block. ST elevation is evident in Lead I, aVL, V5 and V6 lateral wall). ST elevation is also present in V1, V2, V3, and V4 (anterior wall). This completes the diagnosis of anterior lateral wall myocardial infarction.
If you look at Leads II and III, you will notice ST depression, or reciprocal changes. These changes are less obvious in the aVF lead. This reflects the inferior wall attempting to work harder in order to make up for the damaged anterior wall. Due to the large amount of heart muscle at risk here, this patient is at risk of cardiogenic shock. We must act quickly to restore blood flow to this vessel.
What should we be doing for this gentleman?
At this point, everything we do should have one goal in mind. Getting him to the cardiac catheterization laboratory where his coronary artery can be opened and blood flow can be restored. How this man does going forward is going to depend on how much of his heart muscle dies during this event. That is a result of only one thing. How long this blood vessel remains closed. There are some things we want to get done while we await the cath lab.
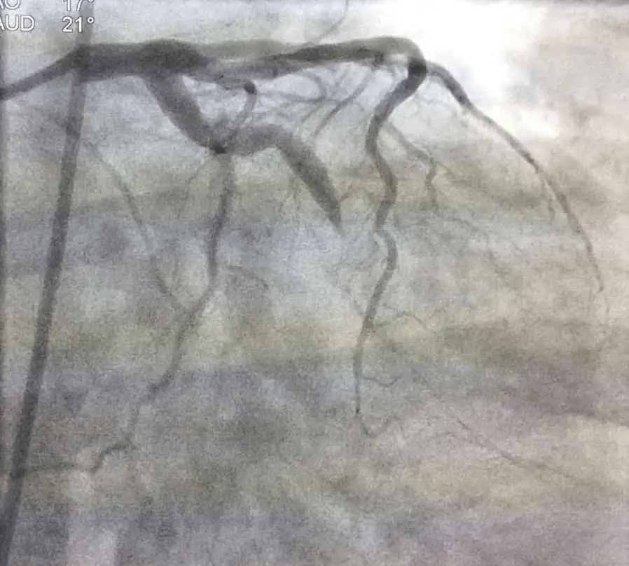
First and foremost, this patient should receive 325mg of Aspirin. Plavix 300mg PO as a loading dose is standard practice in most facilities. He should be placed on oxygen 4 Liters via nasal cannula that should be titrated to maintain a saturation between 94% and 99%. Although nitroglycerin can be considered, it should be done with caution because his systolic blood pressure is barely 100 mmHg. We should be dealing aggressively with his pain. This can be done using ,morphine sulfate 2–5mg every few minutes, or fentanyl 25 mcg to 50 mcg every few minutes titrated to pain reduction. The cardiac catheterization laboratory personnel arrive and take him to the catheterization laboratory. The following is his initial angiogram.
This is an RAO Caudal view of the left coronary system. It reveals a totally occluded left anterior descending artery (LAD) and left circumflex obtuse marginal branch. The LAD is a very large blood vessel that is responsible for blood flow to most of the anterior wall of the heart. This is a very large infarction. Without intervention, death is the likely outcome of this type of occlusion. As you can see below, the patient’s right coronary artery that is responsible for circulation to the inferior wall of the heart is patent and continues to supply blood flow to that portion of the heart muscle.
A small wire (0.14”) is advanced through the clot blocking the artery. A balloon and thrombectomy device (designed to suck clot out of the blood vessel) is passed over the wire and down the vessel. The thrombus is removed from the vessel. The following image shows the device and the amount of clot that could be removed from the vessel.
The patient reports a big improvement in his pain shortly after the balloon is deflated. In fact, his pain is almost gone. A stent is placed at the site of the occlusion and final angiography is performed.
You can see from the above angiogram that blood flow has been restored to a large amount of heart muscle by opening the left anterior descending artery that was occluded when this gentleman came into the emergency department. He will be maintained on Plavix 75 mg daily. A nitroglycerin drip may be used to reduce the workload on his heart for a couple of days. In addition, he will be placed on a beta blocker to decrease the workload and decrease the chance of re-infarction in the future. An ACE Inhibitor and a Statin will probably be part of his discharge regimen.
Good job, this man’s life was likely saved because of your fast diagnosis and actions when he came into the emergency department. The goal is to open the blood vessel within 90 minutes of his arrival. The goal is to reach patients within 120 minutes of the time that the blood vessel occludes. This usually correlates with the time of first symptom. In this man’s case, he remained at home for many hours with stuttering pain. This may impact how well he does going forward.
Test your knowledge
Stay on track!
Would you like a reminder when your ACLS certification expires, plus study tips?
How we reviewed this article
Our experts continually monitor the medical science space, and we update our articles when new information becomes available.
- Current versionMail the author of this pageEmail
- Feb 1, 2023
Copy edited by:
Copy editorsChanges: Updated ECG interpretation and angiogram case information- Jan 23, 2023
Reviewed by:
Caitlin Goodwin DNP, CNM, RN Caitlin Goodwin, DNP, RN, CNM, is a Board Certified Nurse-Midwife, Registered Nurse, and freelance writer. She has over twelve years of experience in nursing practice.- Dec 30, 2015
Written by:
Judy Haluka Judy has helped write or review several medical publications for us. Everything that she works on will clearly include Judy's name.





