LMT lesion - ECG case study
Written by Judy Haluka
Changes: Updated ECG interpretation and case study information
This 71-year-old female was admitted to the coronary care unit last evening with a diagnosis of R/O coronary disease. Her enzymes and ECG were normal in the emergency department last evening. She has been pain-free since her admission. She now calls you into the room complaining of chest pain that radiates into her back. She appears uncomfortable, moving about in the bed and rubbing her chest. She is on a heparin drip at 1000U and a Nitroglycerin drip at 10 mcg/min. She has received aspirin today.
Exam: Uncomfortable, elderly female complaining of 7/10 chest pain. Her skin is warm and dry. Distal pulses are intact.
BP: 168/94 HR: 110 R: 24
Telemetry is sinus rhythm to sinus tachycardia with a few PVC’s. Her 12-lead ECG is as above. Should you be concerned?
Note the ST depression throughout the ECG that indicates widespread ischemia, especially in light of her complaint of chest pain. Note the ST-elevation in aVR. ST elevation in this lead is uncommon and is only present in two situations. Left main trunk stenosis and proximal LAD stenosis. Both of these situations are extremely serious and need urgent treatment.
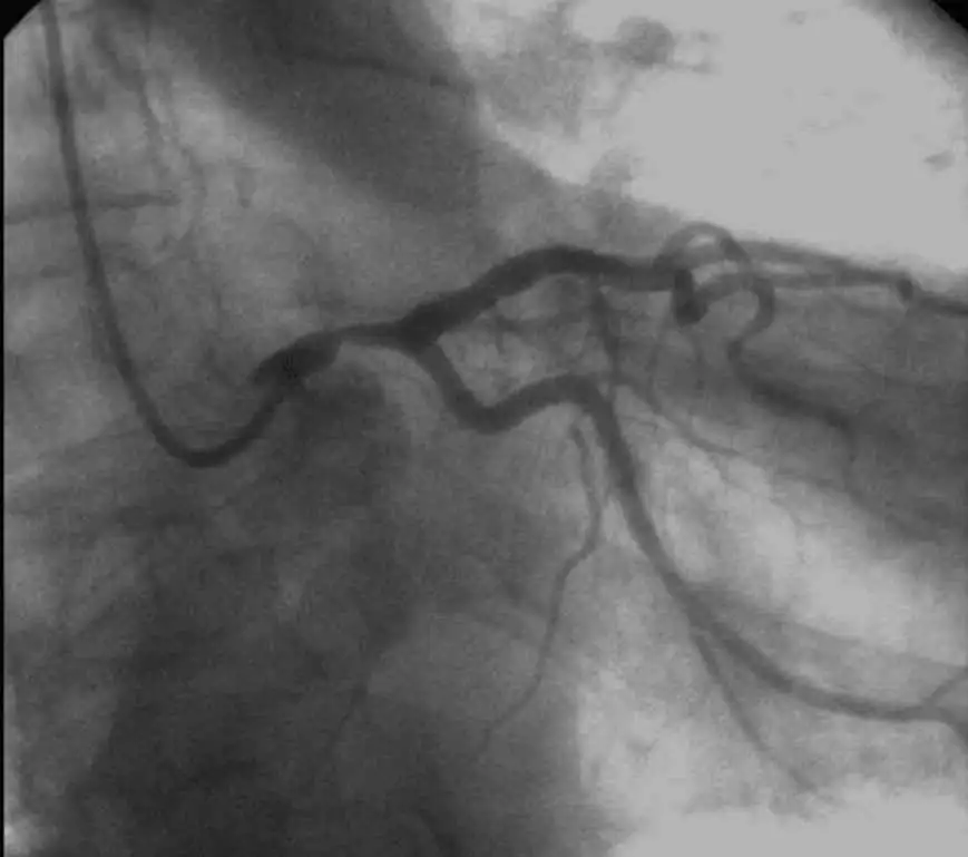
ST-elevation of greater than 1mm in aVR indicates triple vessel coronary disease, left main trunk disease, or proximal LAD disease. If that ST-elevation is greater than the ST-elevation in V1, it differentiates between left main trunk and LAD disease. The treatment for anyone with these conditions is almost always coronary artery bypass grafting. This patient needs to be taken to the cardiac catheterization laboratory to obtain images for use in interventional surgery. An ECG without ST elevation in aVR almost certainly rules out the presence of significant left main trunk disease. The following angiogram shows the gravity of this type of lesion clearly.
Test your knowledge
Stay on track!
Would you like a reminder when your ACLS certification expires, plus study tips?
How we reviewed this article
Our experts continually monitor the medical science space, and we update our articles when new information becomes available.
- Current versionMail the author of this pageEmail
- Jan 14, 2023
Copy edited by:
Copy editorsChanges: Updated ECG interpretation and case study information- Dec 5, 2021
Reviewed by:
Caitlin Goodwin DNP, CNM, RN Caitlin Goodwin, DNP, RN, CNM, is a Board Certified Nurse-Midwife, Registered Nurse, and freelance writer. She has over twelve years of experience in nursing practice.- Mar 22, 2015
Written by:
Judy Haluka Judy has helped write or review several medical publications for us. Everything that she works on will clearly include Judy's name.

